症例紹介『埋伏歯』
<症例プロフィール>
MIX小型犬、1歳0ヶ月齢、去勢オス
<主訴・問題点>
身体検査にて、歯が少ない
しっかり確認するために、口腔内の詳しい検査を実施しました。
<検査>

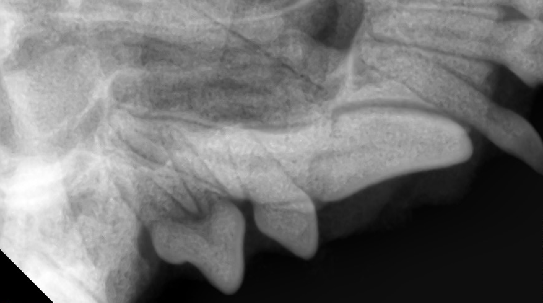
本来犬の永久歯は計42本ですが、この症例では計6本の歯が目視では確認できません。
歯科レントゲン検査で歯肉の下に隠れている歯(埋伏歯・まいふくし)の有無を確認する必要があります。

<結果・診断>
右上顎犬歯(赤丸)と右下顎第一前臼歯(黄色丸)が埋伏歯であること、その他の歯は生まれつきないことがわかりました。
埋伏歯をそのままにしておくと将来的に『含歯性嚢胞』といった病気になる可能性があるため、ご相談の上、麻酔をかけて抜歯することになりました。
※『含歯性嚢胞』とは
短頭種で多いとされ、埋伏歯を中心に嚢胞が形成され、嚢胞の圧力により周囲の歯や顎の骨が吸収・破壊されていく進行性の病気です。通常は無症状ですが、感染を伴うと痛みが認められたり、稀に鼻炎症状・睡眠障害の原因になります。
<治療・処置>
歯肉を切開すると、写真のように歯が歯肉の下に埋まっていたことがわかります。
抜歯後、残った歯の一部がないか歯科レントゲン検査も実施します。

<経過>
半年後に再度検査を実施しました。
抜歯した場所での嚢胞形成はなく、上顎の骨が新たに形成されていました。

<まとめ>
当院では歯科レントゲン検査で埋伏歯の確認を推奨しております。
お気軽にご相談ください。
2025年12月22日 10:36





