症例紹介『胃拡張捻転症候群』
犬の胃拡張捻転症候群とは、胃の中にガスや内容物が大量にたまり(胃拡張)、その状態で胃がねじれてしまう(捻転)ことで急速に全身状態が悪化する、命に関わる緊急疾患です。特に胸の深い大型犬(グレートデーン、スタンダードプードル、ジャーマンシェパードなど)で発症しやすいとされています。
胃が拡張すると周囲の血管や臓器が圧迫され、さらに胃がねじれると胃の出口と入口が閉じてガスや内容物が排出できなくなります。また、胃や脾臓への血流が障害されるほか、静脈の還流が阻害されることでショック状態に陥ることがあります。
主な症状は、急激な腹部膨満、落ち着きのなさ、よだれ、吐こうとしても吐けない「空嘔吐」、呼吸の荒さなどです。進行が非常に速いため、疑われた場合はすぐに動物病院での処置が必要です。
治療はショックの管理、胃内のガスの減圧、そして外科手術による胃の整復と再発防止のための胃固定術が行われることが一般的です。食後すぐの激しい運動を避ける、早食いを防ぐ、食事回数を分けるなどが予防として推奨されています。
<症例プロフィール>
ゴールデンレトリバー、12歳3ヶ月、避妊メス
<主訴・問題点>
旅行先でぐったりした。
近医を受診したら胃拡張と診断され、胃穿刺でガスを抜いたが、これから帰宅するので診て欲しい。
<検査結果>
歩行はなんとか可能だが、ほぼ横臥状態
意識レベル 正常〜傾眠
身体検査 体重25kg 体温39.2℃ 心拍数100回/分 呼吸数40回/分
血液検査 リパーゼ著増(>1000 U/L)、炎症マーカー軽度上昇(CRP)1.7 mg/dL、ALP軽度上昇147 U/L、CERA軽度上昇 1.65 mg/dL
上記以外は大きな異常値はなかった
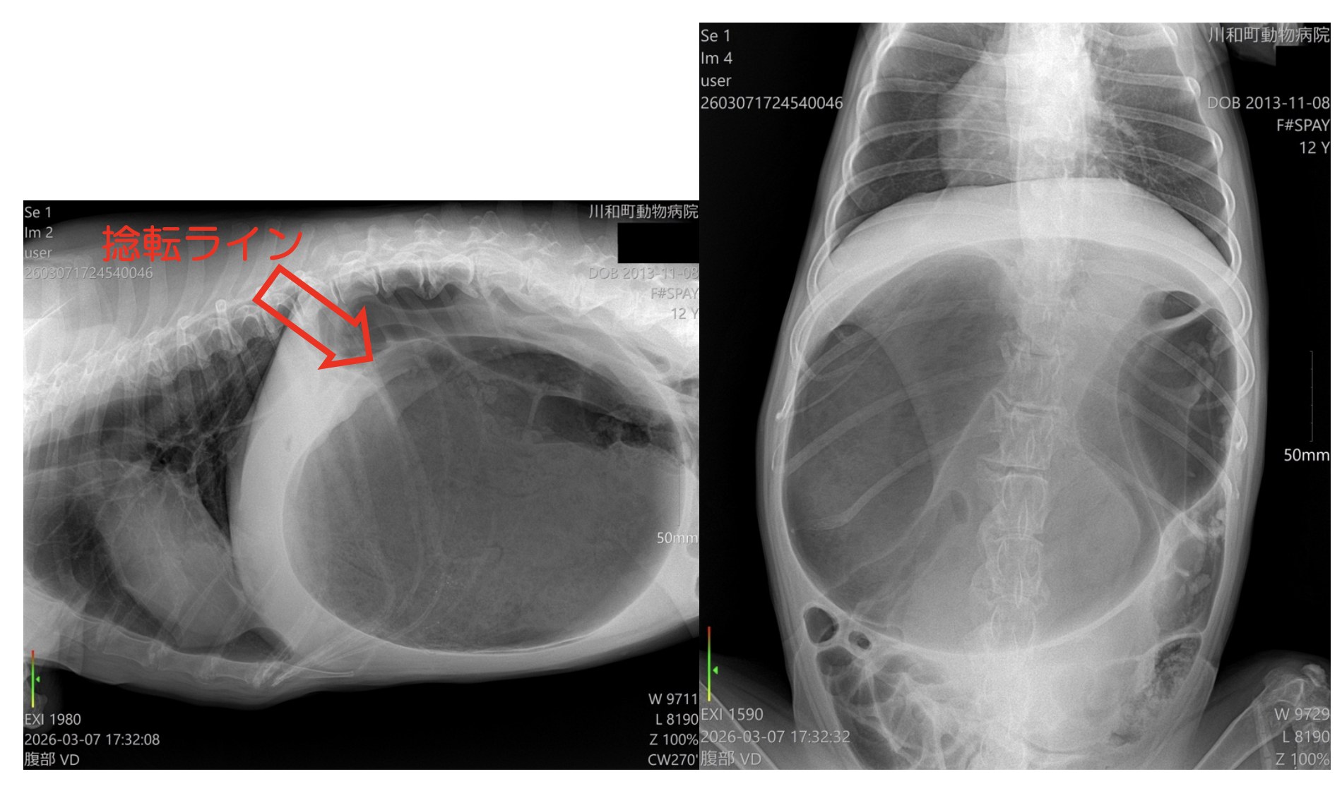
レントゲン 重度胃拡張
右下側面像にて捻転ラインが確認された

超音波検査 軽度腹水あり 出血が疑われた
血圧 平均血圧 100程度
<診断>
胃拡張捻転症候群
それに伴うショック前状態
腹腔内臓器から出血の可能性
<処置>
緊急性が高いと判断し、再度胃穿刺を実施しガスを抜去しながら緊急手術の必要性・合併症リスクを説明した。
同意が得られたため緊急手術を実施した。
手術時所見
常法通り開腹後、胃切開し胃内容物をある程度吸引した。胃の表面に大網がかぶっており胃の表面の色調は暗赤色に変化していた。(写真①)
胃の位置を確認したところ、時計回りに180度捻転している状態であることがわかったため、整復した。その後、脾臓も確認したが問題はなかった。(写真②)
胃底部〜胃体部にかけて胃表面の色調が変化しており広範囲で障害があることがわかった。一部白色に変化し胃壁厚が薄く変化した領域もあり、その部位は壊死していることが強く疑われた。(写真③、④)
損傷を負った部分を可能な限り内側に陥入するように縫合処置した(=胃陥入術)(写真⑤)
最後に胃固定術を実施し、腹腔内ドレーンを設置後、常法通り閉腹した。(写真⑥)



<経過>
入院時は不整脈も認められたものの順調に回復し、缶詰フードを自力採食できるようになったので術後4日目で退院とした。
術後14日で抜糸を実施した時点では嘔吐もなく、食欲元気は安定していた。
<まとめ>
犬の胃拡張捻転症候群は急性に発症し、最悪の場合死んでしまう厄介な病気です。特に大型犬で注意が必要です。
避妊去勢手術時に同時に行う予防的胃固定術や日頃の食事管理など、お気軽にご相談ください。
2026年03月23日 15:44





